• The new WDWMAGIC iOS app is here!
    Stay up to date with the latest Disney news, photos, and discussions right from your iPhone. The app is free to download and gives you quick access to news articles, forums, photo galleries, park hours, weather and Lightning Lane pricing. Learn More
  • Welcome to the WDWMAGIC.COM Forums!
    Please take a look around, and feel free to sign up and join the community.

A Spirited Perfect Ten

Disneyhead'71

Well-Known Member
Wait, I can get Ebola from riding Dumbo during the day?
No, no. The Internets are full of disinformation. You can only get Ebola on parts of the Jungle Cruise and in parts of DAK. At Dumbo all you have to worry about is fleas and peanut allergies.

And on the left coast, they have determined that the measles outbreak is actually coming out of DCA. Who knew that big time movie stars like Mike and Sully were Anti-vaxxers.
 

flynnibus

Premium Member
Enough from me as well. I sincerely Appreciate the different point of view that I wasnt considering.

Well done

BTW... you'll never know this happened to me.. unless I show you my scars... or you ask me to move your furniture :)
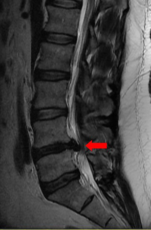
mri-small.jpg


Yeah... that climax resulted in about 3 years of misery, two surgeries, bed ridden for months, and more. To this day I can't really run still.. somewhat of a jog is the closest I can get. Even the bulges at the other 3 adjacent levels would be enough to put most people into long term therapy.

And why I take discussions like 'what happened to all the benches!?!?!' quite personally. I need to be off my feet periodically or I can push myself over the edge and then I can only move like a 80yr old lady for 12-36hrs.

Coasters are marginal for me and I opt out of aggressive stuff to ensure I don't go too hard. No manta for me last trip :/
 

wdisney9000

Truindenashendubapreser
Premium Member
Well done

BTW... you'll never know this happened to me.. unless I show you my scars... or you ask me to move your furniture :)
View attachment 83493

Yeah... that climax resulted in about 3 years of misery, two surgeries, bed ridden for months, and more. To this day I can't really run still.. somewhat of a jog is the closest I can get. Even the bulges at the other 3 adjacent levels would be enough to put most people into long term therapy.

And why I take discussions like 'what happened to all the benches!?!?!' quite personally. I need to be off my feet periodically or I can push myself over the edge and then I can only move like a 80yr old lady for 12-36hrs.

Coasters are marginal for me and I opt out of aggressive stuff to ensure I don't go too hard. No manta for me last trip :/
I would definitely give you my spot for the parade, Flynn.
 

PhotoDave219

Well-Known Member
1. These particles DON'T cause cancer, that's the whole point.

2. Something something something cohesive theme something immersive environment something something.

3. California is the worst. :p

As someone who works on that type of turf for months at a time over the past 10 years.... I want to know something definitive. It makes me nervous.

Also.... That stuff is as slippery as ice when it gets wet.
 
I plan on having a stroller for my 6 yo this April. It is as much a safety issue as a convenience for my daughter. My wife has MS and is wheelchair bound and a stroller helps me manage both of them.

People do not care about adults in wheelchairs. People don't look for them when they are walking and since her face is at elbow level and suffers from Trigeminal Neuralgia I worry. I have to have a stroller to make sure that I can keep an eye out on the traffic coming towards us and to make sure my daughter is safe and with us.

I am sure that many parents look at a stroller as a safety device as well.

Agreed. Yes, for us, a lot of times its a safety concern. We park ours and all walk around an area during the day. I'm all for my young child getting some exercise, but at night, especially after the fireworks, it's a madhouse.
I feel so much safer having them in the stroller. I can't carry them, it's dark, it's scary, there's crazy "adults" trying to get ahead of everyone and it's really hard to hold their hand in all that. Thankfully one of my only real issues at MK is just the Thousands of adults stampeding like cattle to get out. Do they think they're getting locked in for the night?
So yes, even though we were anti-stroller back in the pre-child days, we've now decided it's worth it.
 

tribbleorlfl

Well-Known Member
I see two types of people in wheelchairs at WDW. The ones who have a Disney rented wheelchair and the ones who have their own personal wheelchair that they came in, which is very easy to recognize. The people who are in their own personal wheelchair will always have the right of way with me and I gladly move out of the way if I see them coming. I will give them my spot for a parade or a show if it allows them to see better. For those people who have a real medical or otherwise legit reason to be in that chair, I always help out in any way that I can. On a few occasions I have a seen a legit hndicap person in a Disney wheel chair for some reason. Perhaps theirs had a problem that day, but again, its easy to tell. Mostly because they are not a heavy set person.

Now, IMO, the ones who have a rented wheelchair are the same type of people you see in the grocery store or at walmart who can walk just fine but choose to use the EVC scooter the stores have. They are lazy. I dont wanna hear any excuses about injuries or problems they have. If they had serious problems they would have THEIR OWN wheelchair or EVC by now. Do they rent scooters everyday where they live? Doubt it. They most likely only go to stores that provide free use of an EVC. That tells me that they either dont qualify for assistance in getting one or are to cheap to care about their own well being and buy one. In WDW, 99.9% of people in rented wheelchairs/scooters fall into the extremely overweight category. If they have problems walking due to their weight, thats fine, but why dont they have their own personal EVC yet? Again, they fall into the category of cheap/dont have a legit enough problem to get assistance. If they dont want to help themselves then I cant help them either. Not saying I block their path or make it harder for them, but Im also not going to go out of my way to move for them just because they are too lazy to walk and get the much needed exercise they require. This group kinda ruins it for families such as yours because they create the stereotype that lead people to think everyone in a wheelchair at WDW is lazy. I see many large people at WDW actually WALKING and its not fair to them either. They chose to not be lazy and perhaps are trying to get a little exercise as well. I applaud them.

I also realize that there is occasionally a person who may have sprained an ankle or broke a bone just before their trip and now must rent a scooter. This category of people is easy to spot because they have either a cast or brace or something that shows why they have a scooter/wheelchair. Just adding this so nobody brings it up.

You right. I think this applies to EVC more than wheel chair though. Maybe Im wrong but I would think that most people that have their own wheel chair would want it with them since its made for them and is probly more comfortable than a rented one. I apologize for the generalization. I still think its very easy to tell the difference between a person who has a real issue and a person who is just overweight and being lazy. Especially when I see them get out of it and walk through the queue just fine.
I'm in awe that you can diagnose medical conditions simply by looking at someone, that you can identify fakers by the equipment they're using and that you can pass moral judgement on a person because of their size. I must know where you earned your MD; Google U?

I'm sorry, but it's posts like these where I love to hate this and other theme park boards. The ECV/stroller "debate" (and I say debate in the loosest sense because I don't even know why it's a "thing") is so tired but cyclical, and invariably devolves into a race to the bottom. The negative comments almost always come from people who have either never been parents or whose kids are long grown, or in the case of wheelchairs and ecv's, never been in or with people in wheelchairs. In other words, they speak from ignorance.

It shouldn't matter to you someone's reason for using an ECV or pushing their kids in a stroller. Wheelchairs and strollers have no appreciable impact on how you and your family enjoy the parks; if "fat and lazy" people or young children also enjoying the parks disrupt your vacation to the point of commenting on an internet forum, then the problem lies with you and not them.

I am disgusted that you think my mother and my daughter shouldn't have been been allowed to celebrate my son's 10th birthday at Epcot a week ago because the thought of my mom in an ECV and my daughter in a stroller offends you so. Never mind my mother has arthritis in her knees and a leaky heart valve and that my daughter is 2 and was asleep when we got there, my mom is on the heavy side and my daughter can walk, so they were instantly being "lazy." According to you, they don't deserve the same respect or park experience as everyone else.

Am I the only one that has a problem with this mentality?
 

Rodan75

Well-Known Member
Sorry, your gross generalization ignores the people who rent because they don't want to haul their own ECV/scooter to FL. Flying with a stroller? PITA... Flying with a ECV? Gotta be much worse. The airports have chairs/service... so does Disney. So why bring your own except to try to save money? Most know its not worth the hassle.

It is worse than a PITA, one of my employees has polio and requires an ECV and the hassle that the airlines and airports would put him through to get the ECV anywhere was inhumane. The fact that Orlando has quick and easy ECV rentals was one of the reasons why I had team meetings in Orlando vs. KC or Denver.

I really hate when this board gets on the stroller/ECV topic though...it never ends well.
 

baymenxpac

Well-Known Member
I'm in awe that you can diagnose medical conditions simply by looking at someone, that you can identify fakers by the equipment they're using and that you can pass moral judgement on a person because of their size. I must know where you earned your MD; Google U?

I'm sorry, but it's posts like these where I love to hate this and other theme park boards. The ECV/stroller "debate" (and I say debate in the loosest sense because I don't even know why it's a "thing") is so tired but cyclical, and invariably devolves into a race to the bottom. The negative comments almost always come from people who have either never been parents or whose kids are long grown, or in the case of wheelchairs and ecv's, never been in or with people in wheelchairs. In other words, they speak from ignorance.

It shouldn't matter to you someone's reason for using an ECV or pushing their kids in a stroller. Wheelchairs and strollers have no appreciable impact on how you and your family enjoy the parks; if "fat and lazy" people or young children also enjoying the parks disrupt your vacation to the point of commenting on an internet forum, then the problem lies with you and not them.

I am disgusted that you think my mother and my daughter shouldn't have been been allowed to celebrate my son's 10th birthday at Epcot a week ago because the thought of my mom in an ECV and my daughter in a stroller offends you so. Never mind my mother has arthritis in her knees and a leaky heart valve and that my daughter is 2 and was asleep when we got there, my mom is on the heavy side and my daughter can walk, so they were instantly being "lazy." According to you, they don't deserve the same respect or park experience as everyone else.

Am I the only one that has a problem with this mentality?

i don't even know why i'm going to bother to try to delve into this one, but:

let's not fall victim to the black-and-white debate style that has derailed out society and practically eliminated educated discourse in this country. there are a large section of people that go to walt disney world that:

1) use ECVs when they don't really require them
2) use ECVs and/or strollers as physical blockades and battering rams

these people suck, because their rude or lazy actions have negative trickle down effects on everyone (either by taking away resources from those who require it, or by putting other people in physical danger. getting on a line for space mountain 2 minutes later than you would have if you weren't stuck walking behind someone with an ECV does not count, because...really, people. chill out).

people who require assistance or have young children that need a stroller very much do not suck.

i don't think we really need to delve deeper into it than that, right?
 

RivieraJenn

Well-Known Member
Here's my light-hearted contribution to the ECV discussion:

I was at WDW at the end of January. While waiting for the bus to leave MK, we struck up a conversation with a woman and her daughter in line behind us. The mom was at least in her 70s...and was completely railing on "all those 90-year-olds flying around the parks on their scooters, running over people and not paying any attention to where they're going!" She had us absolutely rolling. Then as we packed onto the crowded bus, a nice man offered her his seat. She sat down, looked at us and said, "My daughter has to stand up. Sucks to be 50!"

Regardless of your stance on ECVs in the parks or elsewhere, who wouldn't want to be that kind of spit-fire grandma? ;)
 

PhotoDave219

Well-Known Member
I'm in awe that you can diagnose medical conditions simply by looking at someone, that you can identify fakers by the equipment they're using and that you can pass moral judgement on a person because of their size. I must know where you earned your MD; Google U?

I'm sorry, but it's posts like these where I love to hate this and other theme park boards. The ECV/stroller "debate" (and I say debate in the loosest sense because I don't even know why it's a "thing") is so tired but cyclical, and invariably devolves into a race to the bottom. The negative comments almost always come from people who have either never been parents or whose kids are long grown, or in the case of wheelchairs and ecv's, never been in or with people in wheelchairs. In other words, they speak from ignorance.

It shouldn't matter to you someone's reason for using an ECV or pushing their kids in a stroller. Wheelchairs and strollers have no appreciable impact on how you and your family enjoy the parks; if "fat and lazy" people or young children also enjoying the parks disrupt your vacation to the point of commenting on an internet forum, then the problem lies with you and not them.

I am disgusted that you think my mother and my daughter shouldn't have been been allowed to celebrate my son's 10th birthday at Epcot a week ago because the thought of my mom in an ECV and my daughter in a stroller offends you so. Never mind my mother has arthritis in her knees and a leaky heart valve and that my daughter is 2 and was asleep when we got there, my mom is on the heavy side and my daughter can walk, so they were instantly being "lazy." According to you, they don't deserve the same respect or park experience as everyone else.

Am I the only one that has a problem with this mentality?

I have a problem with that. One of my closest friends needs an ECV due to a traumatic brain injury. Take one look at her and you'd never have expected it.

It's always fun walking around the parks with her.

Society is disgusting.
 

wdisney9000

Truindenashendubapreser
Premium Member
I'm in awe that you can diagnose medical conditions simply by looking at someone, that you can identify fakers by the equipment they're using and that you can pass moral judgement on a person because of their size. I must know where you earned your MD; Google U?

I'm sorry, but it's posts like these where I love to hate this and other theme park boards. The ECV/stroller "debate" (and I say debate in the loosest sense because I don't even know why it's a "thing") is so tired but cyclical, and invariably devolves into a race to the bottom. The negative comments almost always come from people who have either never been parents or whose kids are long grown, or in the case of wheelchairs and ecv's, never been in or with people in wheelchairs. In other words, they speak from ignorance.

It shouldn't matter to you someone's reason for using an ECV or pushing their kids in a stroller. Wheelchairs and strollers have no appreciable impact on how you and your family enjoy the parks; if "fat and lazy" people or young children also enjoying the parks disrupt your vacation to the point of commenting on an internet forum, then the problem lies with you and not them.

I am disgusted that you think my mother and my daughter shouldn't have been been allowed to celebrate my son's 10th birthday at Epcot a week ago because the thought of my mom in an ECV and my daughter in a stroller offends you so. Never mind my mother has arthritis in her knees and a leaky heart valve and that my daughter is 2 and was asleep when we got there, my mom is on the heavy side and my daughter can walk, so they were instantly being "lazy." According to you, they don't deserve the same respect or park experience as everyone else.

Am I the only one that has a problem with this mentality?
Man you are an idiot. I even said that I dont care if people are overweight or have an EVC, I only care when they ram into me and expect special treatment simply because they are in a wheel chair. Does your arthritic mother ram her scooter into people or expect them to get out of the way so she can see the parade? If not, then whats the problem? Those are the people I was speaking about. The truly lazy people who are just overweight and nothing more and expect to be treated differently because of it. Did I make any comment about folks with arthritis or two year olds in a stroller? I dont think I even mentioned strollers at all. If your having a bad day go take it elsewhere and stop putting words in my mouth. Your insulting attitude makes you no better than type of person you are claiming I am. Im glad you were "disgusted" though. I get a feeling of joy knowing I evoked such an emotion from you.
 
Last edited by a moderator:

wdisney9000

Truindenashendubapreser
Premium Member
I apologize for any generalizations I made in my prior posts. I did not intend to offend anybody. It was truly wrong for me to judge or assume I may know what a persons condition may be based on their appearance. It was ignorant on my behalf and I allowed my personal experiences to affect my judgement on the larger issue. Again, apologies to any individuals who may have been offended by my statements.
 
Last edited:

Register on WDWMAGIC. This sidebar will go away, and you'll see fewer ads.

Back
Top Bottom